Prescrizione di apparecchi ortodontici a Desenzano Del Garda
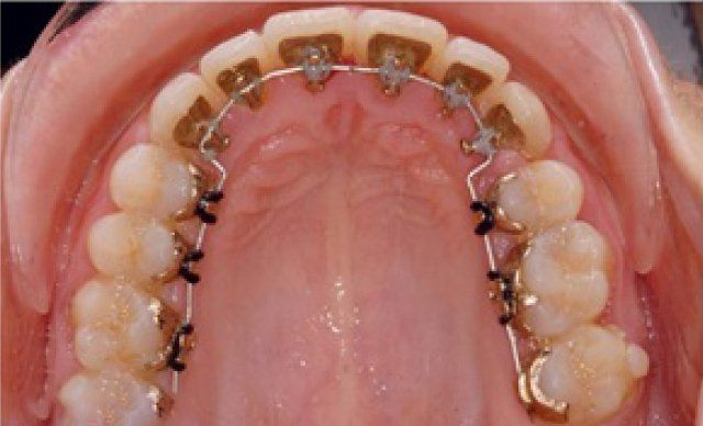
L’apparecchio ortodontico è la soluzione ideale per risolvere e/o prevenire una serie di problematiche legate alla dentatura, tra cui la corretta masticazione e fonazione, nonché l’estetica.
Contatti
Allo studio odontoiatrico di Desenzano del Garda opera la Dottoressa Elena Lazzaroni, altamente specializzata nella branca dell’ortodonzia.
ORTODONZIA BAMBINO
Nel bambino è possibile lavorare sin da piccoli quando ancora ci sono i denti da latte e durante la permuta dentale (genericamente dai 5-6 ai 12-13 anni), per indurre l’eruzione spontanea e corretta dei denti permanenti :
- Terapia intercettiva: identificare e correggere nel bambino le malocclusioni che se non trattate precocemente si aggraveranno con la crescita
- Terapia mio-funzionale: correggere le alterazioni delle funzioni orali (respirazione, masticazione, deglutizione, fonazione) che influenzano in maniera significativa la crescita dento facciale del paziente
ORTODONZIA ADOLESCENTE-ADULTO
Nel paziente adolscente-adulto, quando la permuta dei denti è completata, le terapie indicate possono essere:
- terapia ortodontica: correggere le anomalie di posizione dei denti responsabili di alterazioni estetiche e funzionali
- terapia combinata ortodontico-chirurgica: correggere nel paziente a fine crescita le anomalie di proporzione e rapporto delle strutture scheletriche facciali responsabili di alterazioni estetiche e funzionali.
ORTODONZIA DELL’ADULTO
A tutte le età è possibile sottoporsi ad un trattamento ortodontico e migliorare l’aspetto del proprio sorriso:
- Gli obiettivi di trattamento possono essere solo estetici
- Può essere necessario il trattamento per migliorare aspetti parodontali (delle gengive e dei tessuti di sostegno dei denti)
- Può essere necessario il trattamento per preparare altre terapie (protesi, implantologia)






